Canine & Feline Ultrasound
Fully qualified and accredited with the AUA.
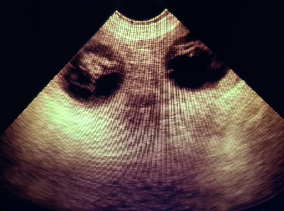
If you believe your pet may be pregnant, we offer gentle and completely painless ultrasound scans to help confirm pregnancy in dogs and cats. These scans can typically be performed from around 28 days after mating.
During the scan, your pet remains calm and comfortable with you gently holding them. A small amount of gel is applied to their abdomen, and a handheld probe is moved carefully over the area to view any developing puppies or kittens.
Our equipment is fully portable, so if you’re unable to visit us, I’m happy to come to your home. Scanning in a familiar environment can help keep your pet relaxed and reduce any potential stress.





About Julie
Julie is a Level 1 and Level 2 qualified Ultrasound Scanner, offering scanning services for dogs and cats either at her home in Shepton Mallet or at your home (within a 10-mile radius). She earned her qualifications in 2016 and 2017 and brings years of hands-on experience.
Using a reliable Scan Pad Ultrasound scanner, Julie can confirm pregnancies and provide you with email copies of any images showing puppies.
Julie is fully insured to perform ultrasound scans. While she can confirm pregnancy, she is not a veterinarian and cannot diagnose other conditions. If anything unusual appears during the scan, she’ll recommend that you seek veterinary advice.
As an experienced dog breeder, Julie is well-versed in managing pregnant dogs and possesses extensive knowledge in whelping and pre-birth preparation.
If you’re based in Wraxall, Shepton Mallet, or the Evercreech area and are looking for a trusted and experienced ultrasound scanner, feel free to get in touch!
Scanning is £30 plus fuel if scanning at your home.
Get in touch...






